



Видалення зубів мудрості – це важливий крок до гармонійної посмішки, особливо в підлітковому віці. Ми знаємо, що правильно обраний час для цієї процедури може запобігти багатьом проблемам в майбутньому.
Коли краще видаляти зуби мудрості?
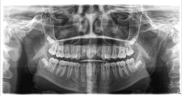
Ми рекомендуємо видаляти зуби мудрості, поки їхні корені ще не сформовані. Зазвичай це відбувається в підлітковому віці. Таке втручання є менш травматичним і значно простішим, ніж видалення сформованих зубів, які часто доводиться видаляти частинами. Наші лікарі-хірурги мають необхідну кваліфікацію та досвід, щоб виконати цю процедуру максимально делікатно.
Наявність зубів мудрості може призвести до серйозних ускладнень:
вони можуть заважати лікуванню брекетами чи елайнерами, а в деяких випадках – звести нанівець його результат. Саме тому ортодонт часто рекомендує їх видалити до початку чи під час лікування.
якщо зуб мудрості росте під нахилом, він може тиснути на сусідній зуб, спричиняючи його руйнування або стирання.
ці зуби можуть спричиняти постійне прикушування щоки та інший дискомфорт.
Ми завжди обираємо найзручніший спосіб видалення для пацієнта:
для видалення одного-двох зубів.
для додаткового розслаблення та комфорту.
для складних видалень або одномоментного видалення всіх зубів мудрості.
Наші спеціалісти компетентні в усіх цих методиках і володіють великим досвідом. Запрошуємо вас на консультацію, щоб обговорити оптимальний план лікування, який збереже здоров'я і посмішку вашої дитини.