Фільтрувати за лікарем

Фільтрувати за типом роботи

×
>>>

Анестезіологія. Олег Ковнацький.

1
2
3
4
5
6

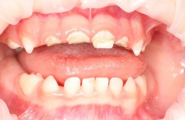
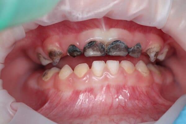
Один рік і два місяці вік дитини. Хтось скаже: «Що там тим зубам можна лікувати?!» Однак є ситуації, коли каріозний процес розвивається просто блискавично. Часто це пов’язано з порушеннями у формуванні твердих тканин ще внутрішньоутробно. А коли такі зубчики прорізуються, руйнування відбувається просто «на очах». Вісім із восьми зубів уражені, а 4 з них потребують часткового видалення пульпи («нерва»). На цьому етапі зуби вже починають турбувати і не зважаючи на юний вік дитини, зволікати не можна. Завдяки високій компетенції наших анестезіологів, які працюють з дітьми від самого народження і навіть з передчасно народженими, ми можемо проводити відповідне лікування в анестезіологічному забезпеченні за потреби навіть з першого зуба. Верхнім зубчикам, які сильно уражені, служити до 7-8 років, тому вони покриваються стандартними естетичними цирконієвими коронками, які дають максимальний результат по надійності, функції та естетиці. Година з половиною роботи і дитина може знову кусати без болю і дискомфорту. Важливо пам’ятати: для лікування зубів ніколи не буває “зарано”, це потрібно робити тоді, коли є відповідні показання

Анестезіологія. Троянська Олександра.

1
2
3
4

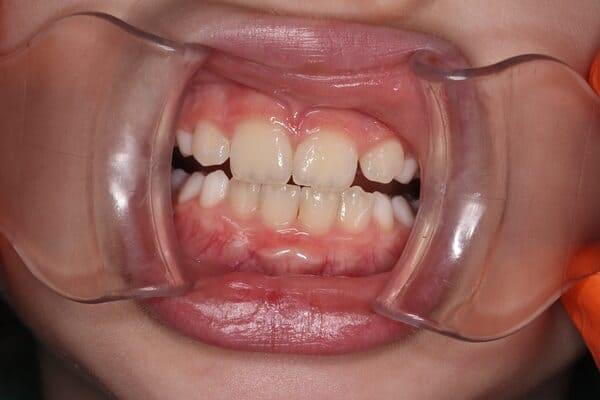
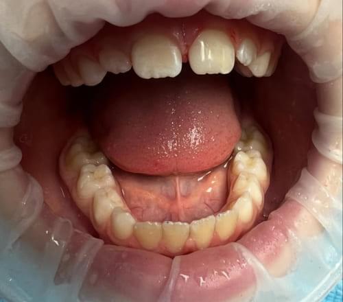
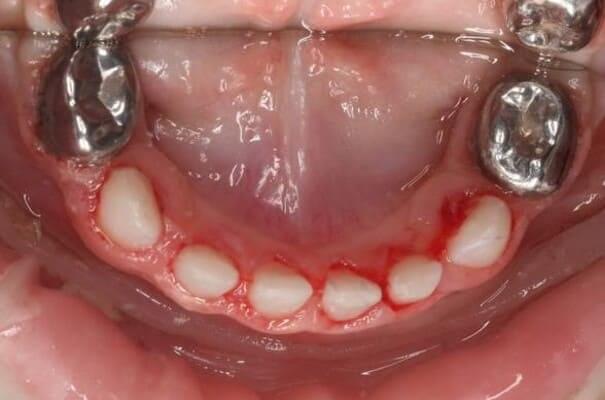
Маленька дівчинка двох років. Лікування проводилось в умовах анестезіологічного забезпечення. Завдяки злагодженій команді анестезіологічної та стоматологічної команди було проведено складне та об’ємне лікування. Було проведено лікування карієсу, герметизація фігур та лікування пульпіту (запалення «нерва») передніх зубчиків з відновленням естетичними коронками. Також бічні зубчики відновлені коронками металевими. Коронки можна комбінувати: на бічні ділянки встановлювати металеві, а на передні зубчики естетичні, щоб забезпечити оптимальну функцію та естетику.

Естетичні коронки. Олег Ковнацький.

1
2
3
4
5
6

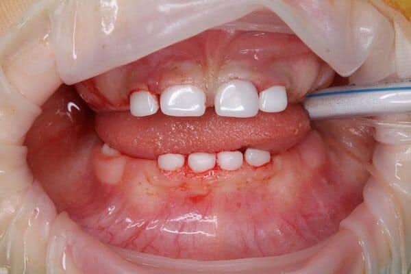
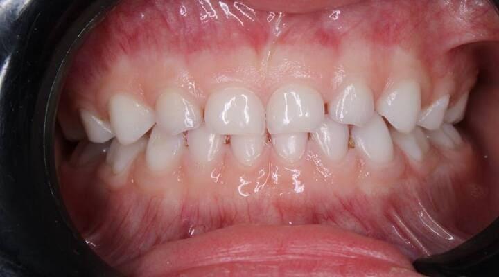
Пацієнт 2 років, уражено десять зубів, шість із яких потребують покриття коронками. В зв’язку зі значним об’ємом та складністю лікування прийнято рішення про лікування в умовах анестезіологічного забезпечення. Раніше була спроба пролікувати ці зуби застарілими методами, які не тільки не є ефективними відносно лікування, а ще і додають дитині комплексів через характерне фарбування зубів. Через високи естетичні вимоги дитини і батьків було прийнято рішення покривати естетичними цирконієвими коронками, як передні так і бічні зуби. Через 2,5 години дитина без інфекції в порожнині рота, з відновленим здоров’ям та естетикою посмішки може кусати, жувати, посміхатись без болю та дискомфорту. Останнє фото через 2 роки після лікування, оскільки естетичні коронки в дитячій стоматології - це надійність, естетика та функція.

Естетичні коронки. Троянська Олександра.

1
2
3
4

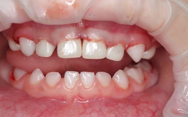
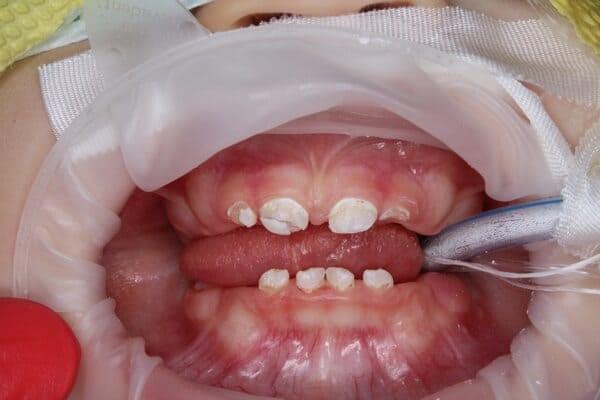
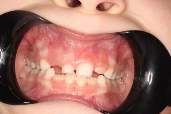
Дівчинка 2 років, але зуби вже мають глибокі ураження із залученням у запальний процес пульпи (“нерва”) зуба. На жаль, так трапляється і зволікати в такому випадку не можна. Було проведено лікування в умовах анестезіологічного забезпечення під контролем досвідченої анестезіологічної команди. Передні зубчики відновлено естетичними коронками, на жувальних зубчиках проведена герметизація фісур, а один вже має глибоке ураження карієсом, тому теж покритий коронкою. Одразу після лікування ясна можуть виглядати дещо травмованими, але за кілька днів вони повністю відновляться.

Естетичні коронки. Бойко Тетяна.

1
2

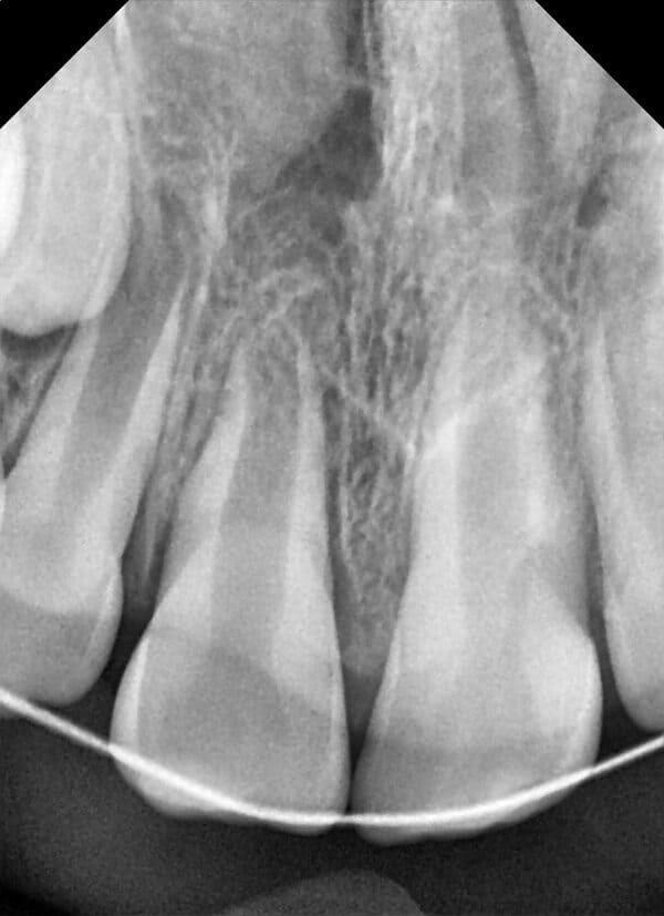
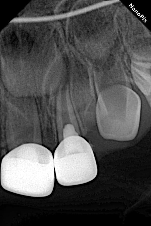
Карієс постійних зубів. Бойко Тетяна.

1
2
2
2

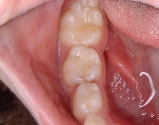
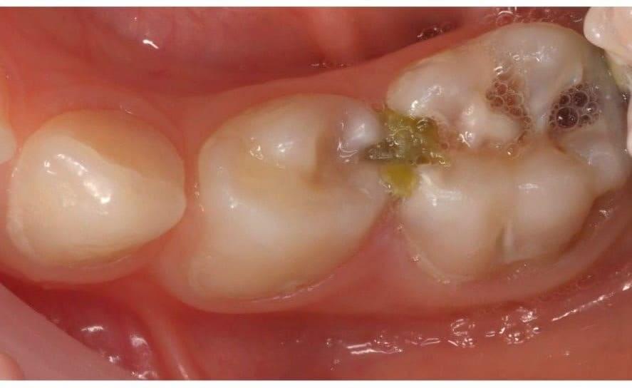
Поява перших постійних зубів, а це шості зуби, відбуваються, коли дитина ще не може, як слід провести їх гігієну та попіклуватись про їх здоров’я. Тому, на жаль вони і вражаються карієсом досить швидко. Пацієнт ще маленький – 6 років, а лікування потребує дорослого: зі знеболенням та ізоляцією. Саме таке і було проведене в даному випадку: зуб очищений від інфікованих тканин, відновлений фотополімерним матеріалом і готовий довго служити юному господарю.

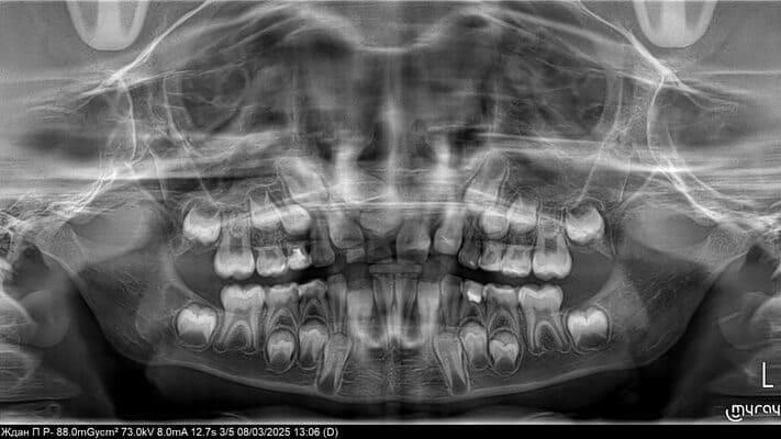
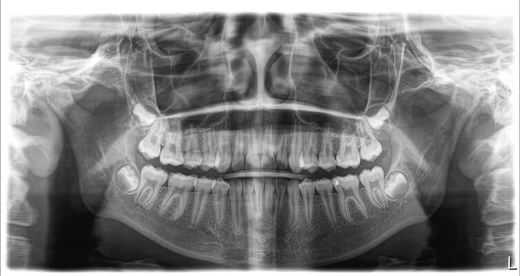
Лікування тимчасових каналів. Олег Ковнацький.

1
2
3
4
5
6

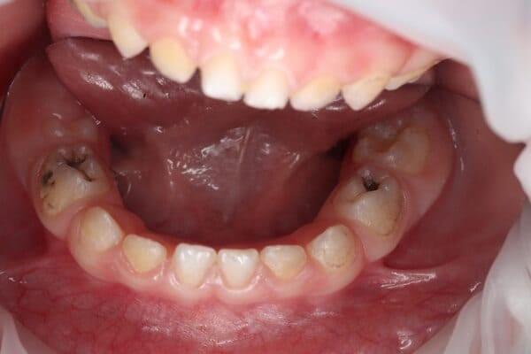
Дівчинка 4,5 років скаржилась на біль в нижньому зубі справа. В зв’язку з високою складністю процедур і значним об’ємом лікування (8 зубів) та після невдалої спроби лікування в звичайному режимі було прийнято рішення про лікування в умовах анестезіологічного забезпечення. Видаленно запалену пульпу (“нерв”) та проведено лікування каналів нижнього зуба ліворуч, цей та сусідні зуби покриті металевими коронками через значний об’єм ураження. Проліковані всі зуби, які потребували допомоги, щоб в майбутньому уникнути болю, дискомфорту та поширення інфекції. Через три години лікування дівчинка може комфортно жувати і не відчувати болю і дискомфорту.

Металеві коронки. Бойко Тетяна.

1
2

Дівчинка, 5 років. Лікування зворотнього пульпіту тимчасових зубів 85,84 та їх відновлення за допомогою стандартних металевих коронок. Лікування проводилось в умовах закису азоту кисневої седації. Період зміни зубів - 10-12 років.

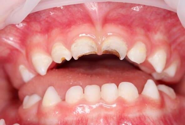
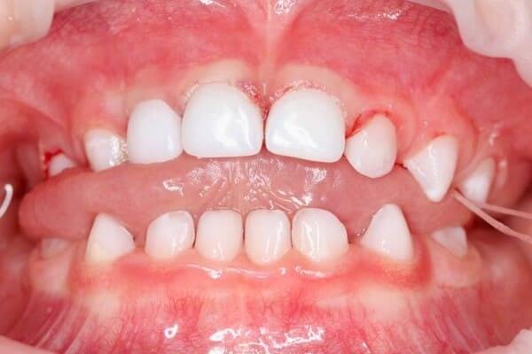
Травма зубів. Олег Ковнацький.

1
2
3
4
5
6

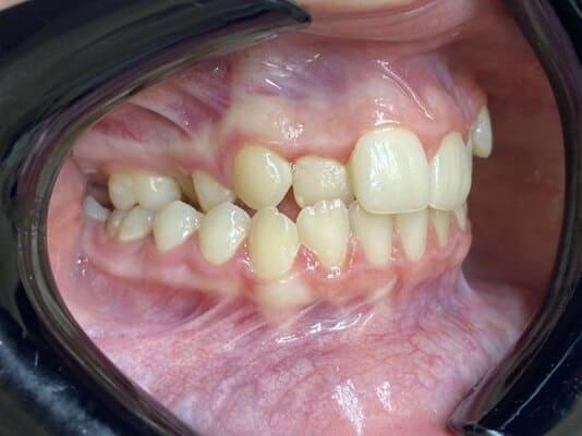
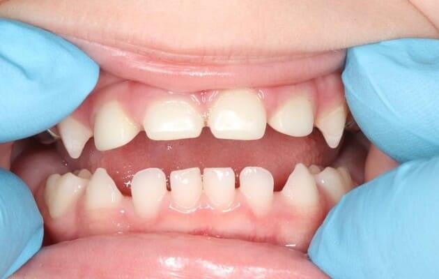
Дівчинка 7 років, перше вересня, гойдалка… Вивих постійного зуба: якщо в такій ситуації зволікати, дитина може втрати постійний зуб назавжди. Батькам порекомендували нас і пацієнти одразу приїхали. Через складність і травматичність процедур вирішено проводити лікування в анестезіологічному супроводі. Зуб поставлений на місце (репонований), проведена хірургічна обробка і ушивання рани губи. Останнє фото через рік після травми: зуб на місці і корінь продовжує розвиватись, губа повністю загоїлась

ЗАПИС
на прийом

chatmessenger whatsapp viber telegram phone