



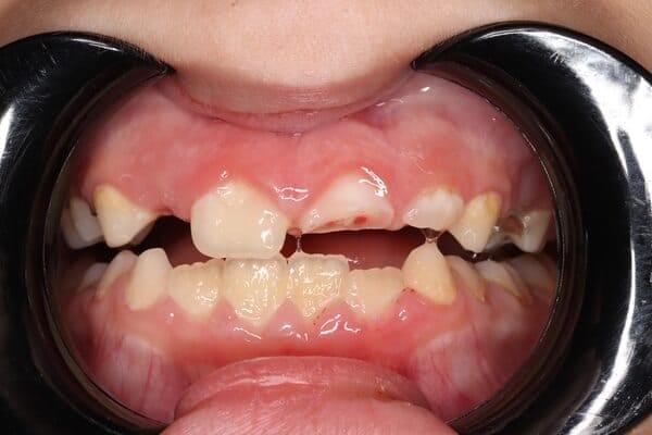
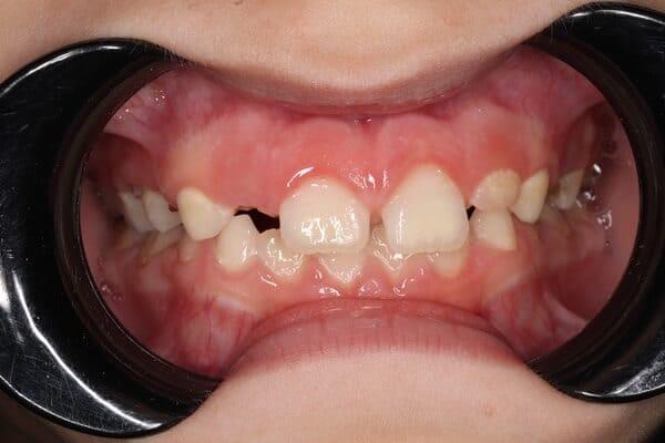
Травма зуба — це завжди стресова та складна ситуація. Вона може статися як з молочними, так і з постійними зубами. Від правильних та швидких дій залежить, чи вдасться зберегти зуб та його функціональність. У нашому Центрі Дитячої Стоматології в Києві ми готові надати кваліфіковану допомогу у будь-яких випадках.
Ми компетентні в лікуванні травм будь-якої складності — від незначних відколів до повного вивиху зуба. Наш досвід дозволяє ефективно працювати з:
Наша експертиза та швидка допомога
Ми розуміємо, що при травмі дорога кожна хвилина. Саме тому ми створили спеціальний алгоритм для таких випадків. Незалежно від завантаженості, наші фахівці завжди знайдуть можливість допомогти дитині з травмою.
На нашому сайті є спеціальний розділ з детальними інструкціями щодо того, як реагувати на травму зуба. Ці знання можуть стати вирішальними.
Якщо у вашої дитини чи у ваших знайомих трапилась подібна ситуація, не відкладайте — телефонуйте до нашого Центру Дитячої Стоматології. Ми надамо необхідну допомогу і зробимо все можливе, щоб зберегти здорову посмішку вашої дитини.